A myxoma is a non-cancerous tumour in the heart. They are more common in women, and are also most frequently found in the left atrium. Rarely, they can also be found in the right atrium or even in the ventricles.

Despite their non-cancerous aetiology, myxomas are not harmless. Once sufficient in size, they frequently ‘flop’ through the associated heart valve, back and forth between the atrium and ventricle, either obstructing blood flow (causing stenosis) or preventing the valve from closing properly and causing leakage (regurgitation) – or both.

Myxomas also present a risk of embolisation. This means that tumour cells or thrombi (clots) attached to the myxoma can break off. Clearly, clots form a serious stroke or heart attack risk, as well as necrosis of other organs in the body (such as the kidneys).

It is almost impossible to differentiate a myxoma from acute coronary syndrome (“blocked arteries”) from symptoms alone. Ascultation by a skilled physician using a stethescope can often detect a murmur, and a negative ECG can make it less likely that a heart attack has occurred (although it can never be ruled out with ECG alone, as many people experience a heart attack which does not show on ECG, termed a non-ST elevation myocardial infarction, or NSTEMI).

An echocardiogram is often requested for patients experiencing chest pain, and this imaging modality lends itself perfectly for the detection of myxomas.

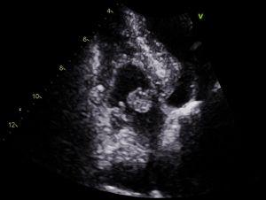
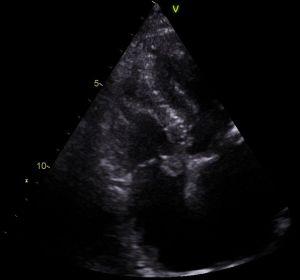
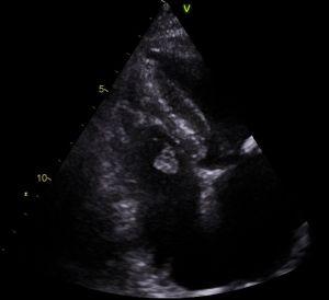
Above: a rare finding of a myxoma on the right side of the heart in a patient referred for a suspected myocardial infarction. In this instance, the myxoma moves with opening of the tricuspid valve into the right ventricle during diastole, and returns to the right atrium during (ventricular) systole. This can be appreciated from the images below, where the image on the left is taken in diastole, and the image on the right during systole: